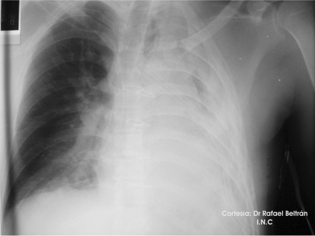
Rx Torax de control (POP inmediato) No muestra complicaciones POP.Podemos ver la posicion correcta del cateter central subclavio derecho (debió colocarse izquierdo pero debido al tipo de abordaje y al riesgo de lesión subclavia izquierda, en común acuerdo con el equipo quirúrgico, se escogió la vena subclavia derecho )

 

Actualizado Abril 18,2005