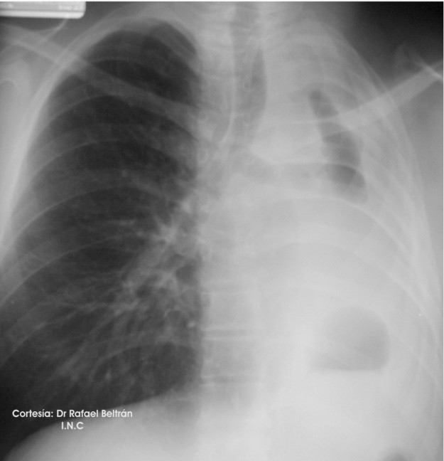
Rx Preoperatoria: Llama la atención la desviación traqueal. lo cual puede dificultar la posición correcta del tubo,
especualmente el Robertshaw derecho

Actualizado Abril 18,2005