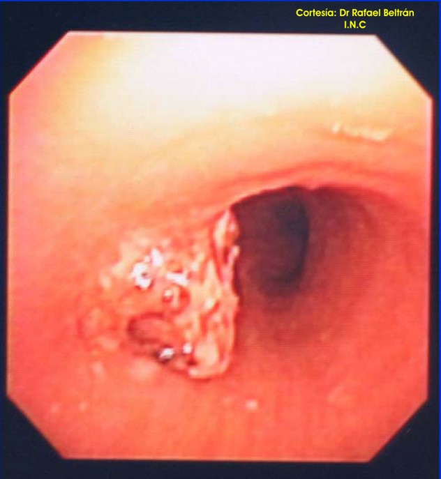
Imagen posterior a corte de pedículo de implantación, tumor polipoide de traquea

Actualizado Abril 18,2005